高齡/慢性病植牙
方女士
糖尿病牙周病心臟病高血壓-方女士
患者全口 X 光

治療前

治療後

治療過程

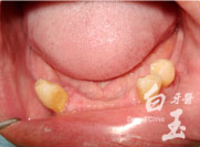
治療前

植入植體

植入植體

治療後

治療後

因每個人體質不同,請洽專業人士諮詢!

白玉牙醫
線上約診

玉美學牙醫
線上約診