牙齒矯正
牙齒矯正-林小姐
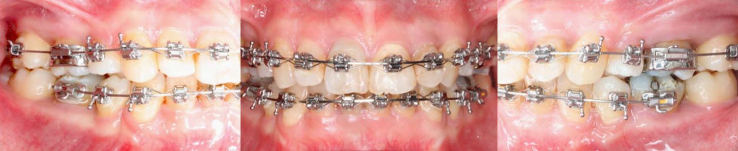
因長期暴牙透過矯正將臉型優化。
口腔三視圖
治療前
治療中
治療過程
治療前
治療中
臉型變化
治療前
治療中
因每個人體質不同,請洽專業人士諮詢!
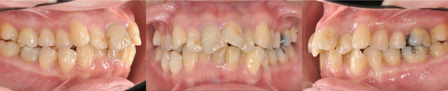
因長期暴牙透過矯正將臉型優化。
治療前
治療中
治療前
治療中
治療前
治療中