牙齒矯正
張小姐
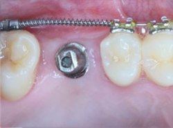
矯正植牙協同治療-張小姐

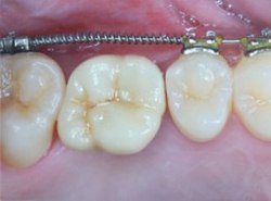
因長期缺失第一大臼齒而導致第二大臼齒歪斜,矯正介入治療將牙齒扶正騰出足夠的空間後 ,再透過植牙將全口重建。

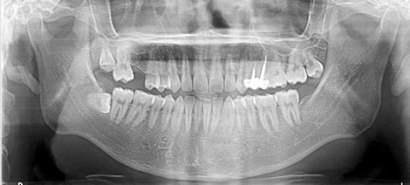
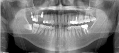
患者全口X光

治療前

治療後

矯正治療過程

治療前

治療中

植牙治療過程

治療前

治療中

治療後

植牙配合鼻竇增高

電腦斷層

電腦斷層

因每個人體質不同,請洽專業人士諮詢!

白玉牙醫
線上約診

玉美學牙醫
線上約診