口腔重建
張女士
全口重建及牙周病-張女士
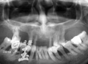
患者全口 X 光

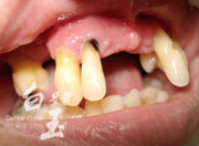
治療前

植入植體

治療後

治療過程

治療前

植入植體

治療後

治療後

因每個人體質不同,請洽專業人士諮詢!

白玉牙醫
線上約診

玉美學牙醫
線上約診