牙齒整型
嚴重牙周病牙齒美容整型-鍾小姐
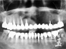
患者全口 X 光
治療前
治療後
治療過程
植入植體
植入植體
植入植體
植入植體
治療後
治療後
治療後
因每個人體質不同,請洽專業人士諮詢!