微創美容貼片
許小姐
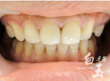
微創美容貼片 - 許小姐
治療過程

治療前

治療後

因每個人體質不同,請洽專業人士諮詢!

白玉牙醫
線上約診

玉美學牙醫
線上約診