微創美容貼片
黃先生
微創美容貼片 - 黃先生
治療過程

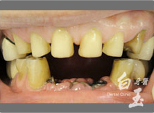
治療前

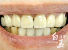
治療後

治療前

治療後

齒模

因每個人體質不同,請洽專業人士諮詢!

白玉牙醫
線上約診

玉美學牙醫
線上約診