關於白玉
診療項目
實際病例
最新消息
媒體報導
門診時刻
線上諮詢
電話預約
(02)2912-1233
週一至週六 09:00-21:00
週日 09:00-17:00
臉書專頁
線上預約
牙齒矯正
微創美容貼片
瓷牙貼片
牙齒美白
牙齒整型
新式立即植牙
微創植牙
高齡/慢性病植牙
牙周病植牙
骨質問題植牙
口腔重建
首頁
實際病例
牙齒美白
牙齒美白
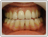
牙齒美白 - 林小姐
治療過程
治療前
治療中
治療後
治療後
因每個人體質不同,請洽專業人士諮詢!
回上一頁
其他項目
白玉牙醫
線上約診
玉美學牙醫
線上約診