牙齒美白
童小姐
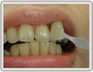
牙齒美白 - 童小姐
治療過程

治療前

治療中

治療後

因每個人體質不同,請洽專業人士諮詢!

白玉牙醫
線上約診

玉美學牙醫
線上約診