牙齒美白
美白患者
牙齒美白 - 美白患者
治療過程

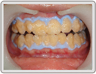
治療前

治療前

治療中

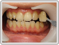
治療後

因每個人體質不同,請洽專業人士諮詢!

白玉牙醫
線上約診

玉美學牙醫
線上約診