牙齒美白
江先生
牙齒美白 - 江先生
治療過程

治療前

治療前

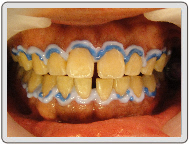
治療中

治療後

因每個人體質不同,請洽專業人士諮詢!

白玉牙醫
線上約診

玉美學牙醫
線上約診