新式立即植牙
楊先生
新式立即式-楊先生

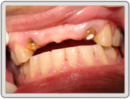
50年次,缺上顎正門牙二顆,右側門牙(殘根)一顆。
計畫:植入共三顆,右上側門牙採即拔即種,立即植牙。利用超音波骨刀立即拔牙並使用3D雷射微創植牙術,不開刀、不翻瓣術後無腫無痛情況良好,並作臨時牙冠維持美觀。

治療過程

治療前

治療中

治療中

植入植體

植入植體

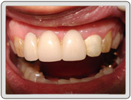
治療後

治療後

治療後

因每個人體質不同,請洽專業人士諮詢!

白玉牙醫
線上約診

玉美學牙醫
線上約診