新式立即植牙
洪先生
新式立即式-洪先生

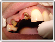
53年次,缺上顎側門牙及上顎門牙及犬牙為殘根要拔除,需植入三顆。
計畫:上顎門牙及犬齒利用超音波骨刀拔除,採即拔即種立即植牙,並加入骨粉及再生膜,並採用3D雷射微創植牙術,不開刀、不翻瓣術後無腫無痛,生活正常非常成功。

治療過程

治療前

治療中

植入臨時植體

治療後

治療後

治療後

因每個人體質不同,請洽專業人士諮詢!

白玉牙醫
線上約診

玉美學牙醫
線上約診