新式立即植牙
蕭小姐
新式立即式-蕭小姐

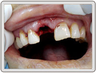
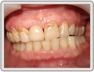
41年次,上顎正門牙斷裂殘根需整型美容,經診斷採用即拔即種,立即植牙。3D雷射微創植牙術,不開刀、不翻瓣術後無腫無痛非常成功。

治療過程

治療前

治療中

治療中

植入植體

治療後

治療後

因每個人體質不同,請洽專業人士諮詢!

白玉牙醫
線上約診

玉美學牙醫
線上約診