微創植牙
林小姐
微創植牙-林小姐
治療過程

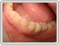
治療中

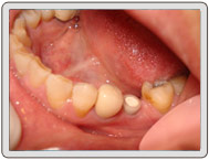
治療中

植入臨時植體

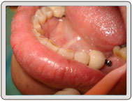
治療中

治療後

因每個人體質不同,請洽專業人士諮詢!

白玉牙醫
線上約診

玉美學牙醫
線上約診