微創植牙
林小姐
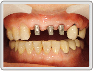
微創植牙-林小姐
治療過程

缺牙狀況

植入植體

植入臨時植體

治療後

治療後

治療後

因每個人體質不同,請洽專業人士諮詢!

白玉牙醫
線上約診

玉美學牙醫
線上約診