微創植牙
黃先生
微創植牙-黃先生
治療過程

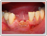
缺牙狀況

置入植體

置入植體

治療後

因每個人體質不同,請洽專業人士諮詢!

白玉牙醫
線上約診

玉美學牙醫
線上約診