口腔重建
局部重建-何小姐
治療過程
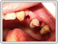
治療前
治療中
治療中
治療後
治療後
因每個人體質不同,請洽專業人士諮詢!
治療前
治療中
治療中
治療後
治療後