口腔重建
徐先生
局部重建-徐先生
治療過程

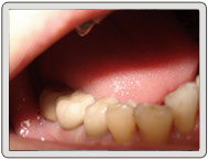
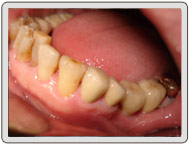
治療前

治療前

治療後

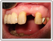
治療中

治療中

治療中

治療中

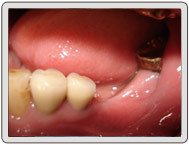
治療後

治療後

治療後

治療後

治療後

治療後

治療後

因每個人體質不同,請洽專業人士諮詢!

白玉牙醫
線上約診

玉美學牙醫
線上約診