口腔重建
吳先生
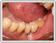
局部重建-吳先生
治療過程

治療中

植入植體

治療後

治療後

因每個人體質不同,請洽專業人士諮詢!

白玉牙醫
線上約診

玉美學牙醫
線上約診